dionysBEWEGT - Dionys Schwery | Akupunktur-Massage, Intensives Behandeln des Blasenmeridianes

Skoliose (Wirbelsäulenverkrümmung)

Beschreibung

Unter einer Skoliose versteht man eine seitliche Abweichung der Wirbelsäule von der Längsachse mit Verdrehungen der Wirbelkörper um die Längsachse. Es besteht ebenso die Möglichkeit, dass es zu Verschiebungen der Wirbelkörper gegeneinander kommt. Eine Skoliose kann mit strukturellen Verformungen der Wirbelkörper einhergehen. Die skoliotische Wirbelsäule bildet dabei in der Regel mehrere, einander gegenläufige seitliche Krümmungen, welche sich kompensieren, um das Körpergleichgewicht möglichst aufrechtzuerhalten. Typisch für die Skoliose ist das asymmetrische Körperbild mit einseitigem Schulterhochstand und Rippenbuckel.

Es wird zwischen funktionellen und strukturellen Skoliosen unterschieden, wobei bei strukturellen Skoliosen einzelne oder mehrerer Wirbelkörper Deformationen aufweisen. Der Schweregrad einer Skoliose wird auf Grund der seitlichen Abweichungen resp. deren Winkel beurteilt.

Ursachen

Die Ursache einer Skoliose ist in den meisten Fällen (rund 70%) unbekannt. Man bezeichnet sie als idiopathische Skoliosen. Sie entstehen häufig während der Wachstumszeit im Kindes- und Jugendalter. Der kleinere Anteil der Skoliosen wird mit verschiedenen Erkrankungen und Missbildungen (z.B. Keilwirbelbildung) in Verbindung gebracht. Daneben bestehen auch noch degenerative Skoliosen, die sich primär im erwachsenen Alter zeigen. Mädchen sind häufiger von schweren Skoliosen betroffen. Skoliosen können mitunter sehr schnell entstehen. Es besteht auch die Möglichkeit, dass sich Skoliosen in gewissen Fällen wieder von alleine zurückbilden. Aus der Sicht der Akupunktur-Massage liegt der Skoliose wie jeder anderen Erkrankung auch ein Ungleichgewicht des Körpers zugrunde.

Behandlung mit der Akupunktur-Massage

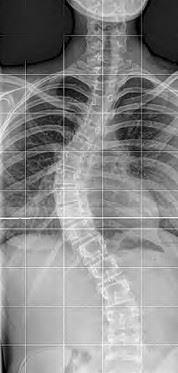
dionysBEWEGT - Dionys Schwery | Röntgenaufnahme einer skoliotischen Wirbelsäule

Röntgenaufnahme einer skoliotischen Wirbelsäule

Die Akupunktur-Massage nach Radloff behandelt die Skoliose auf der energetischen und statischen Ebene mit dem Ziel, Ungleichgewichte auszugleichen resp. zu eliminieren und dadurch den skoliotischen Zustand und die daraus resultierenden Symptome je nach Schweregrad und Alter der betroffenen Person zu reduzieren oder gar vollständig aufzulösen.

Erfahrungsgemäss lassen sich Skoliosen mit der Akupunktur-Massage sehr gut behandeln. Je jünger die betroffene Person ist und je weniger lang die Skoliose besteht, desto besser ist das zu erwartende Resultat. Daher ist es sinnvoll, gerade Kinder beim Auftreten schnellstmöglich mit der Akupunktur-Massage zu behandeln.

Eine Behandlung lohnt sich aber auch im Erwachsenenalter und bei strukturellen Skoliosen, auch wenn sie schon seit langer Zeit bestehen. Die Wirbelsäulenverkrümmungen dürften in diesem Fall nicht mehr so stark beeinflussbar sein. Dennoch lassen sich die Schmerzthematik und Bewegungseinschränkungen, die aus einer Skoliose resultieren können, in der Regel gut bis sehr gut beeinflussen. Zudem besteht die Möglichkeit, dass ein Fortschreiten verhindert wird. Ergänzend zur Behandlung mit der Akupunktur-Massage kann es sinnvoll und notwendig sein, Yoga in die Therapie einzubeziehen.